
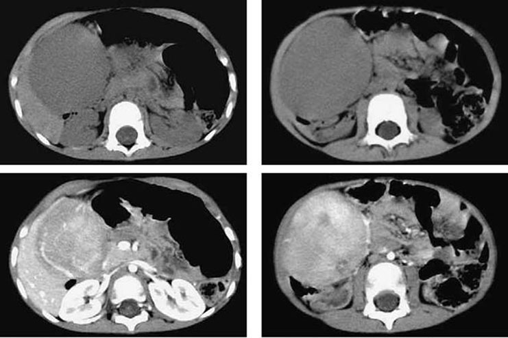
Figura 69-1. Tomografia computadorizada do abdome superior realizada em cortes axiais evidencia volumosa formação expansiva intraperitoneal, circunscrita, de contornos regulares, hipoatenuante na fase sem contraste e que apresenta importante realce na fase arterial.