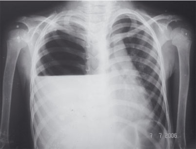
Hidropneumotórax
Figura 53.1: Hidropneumotórax.