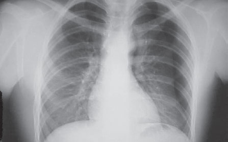
Radiografia de tórax em PA evidenciando de tórax em PA evidenciando pneumotórax à esquerda