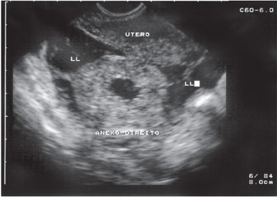
Figura 37.1: Gravidez ectópica rota. (LL, líquido livre.)