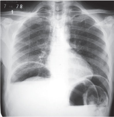
Figura 31.1: Radiografia simples de tórax, em ortostatismo, demonstrando pneumoperitônio bilateral.